Right Inguinal Hernia With Sigmoid Colon Content: An Embryological Twist

Right Inguinal Hernia With Sigmoid Colon Content: An Embryological Twist
Print This Article

Introduction:

Persistent descending mesocolon (PDM) is a rare congenital anomaly resulting from the failure of the mesocolon to fuse with the posterior parietal peritoneum during embryonic development. This leads to increased mobility of the descending colon, predisposing to atypical positioning, volvulus, or internal and external herniation. While PDM itself is often asymptomatic and incidentally discovered, its clinical significance arises when it contributes to complications such as bowel obstruction or herniation. We report a rare case of an irreducible right inguinal hernia with the sigmoid colon—ordinarily a left-sided structure—as its content, attributed to a persistent descending mesocolon and redundant sigmoid colon. This case highlights the embryological basis and clinical implications of PDM in the differential diagnosis of acute abdomen.

Case:

A 49-year-old male presented with complaints of an irreducible swelling in the right groin region, associated with pain and recent onset constipation. There was no history of previous abdominal surgeries or similar episodes.

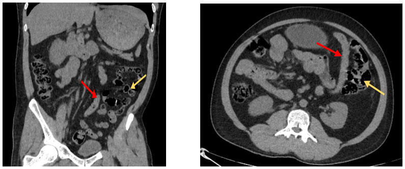
CT abdomen was performed, which revealed a right-sided inguinal hernia containing sigmoid colon, Mesocolon and omentum as content. There was mild fat stranding noted at the level of the deep inguinal ring, indicating early inflammatory changes.

An anatomical variation was observed with the small bowel loops located on the right side to a medially shifted descending colon — suggestive of a persistent descending mesocolon, a rare congenital anomaly due to failed fusion of the descending colon mesentery with the posterior abdominal wall.

Right Inguinal Hernia With Sigmoid Colon Content: An Embryological Twist

Medially shifted descending colon (red arrow) with small bowel loops located on the right side to the later (Yellow arrow)

Right Inguinal Hernia With Sigmoid Colon Content: An Embryological Twist

Right-sided inguinal hernia containing sigmoid colon(Blue)

Clinical significance of PDM includes:

  • Altered surgical anatomy, increasing the risk of mis-identification of structures during abdominal or hernia surgeries.
  • Increased mobility of the colon, predisposing to torsion, volvulus, or herniation.
  • Difficulty in preoperative localization without imaging, emphasizing the role of CT in identifying such anatomical variants.

Discussion:

Right sided inguinal hernias most commonly contain omentum or small bowel or right colon. Right inguinal hernia containing the sigmoid colon is rare and often associated with anatomical variations, such as Persistent Descending Mesocolon (PDM), which can significantly alter the normal intraperitoneal positioning of the bowel.

PDM is a congenital anomaly in which the mesocolon of the descending colon fails to fuse with the posterior parietal peritoneum during embryological development. As a result, the descending colon remains mobile and may shift medially or even across the midline. This abnormal mobility can predispose to aberrant herniation patterns, including into the right inguinal canal – as seen in this patient.

In this case, the sigmoid colon, which is normally fixed in the left lower quadrant, was found herniating through a right inguinal defect. The CT scan revealed small bowel loops located on the right to descending colon, supporting the diagnosis of PDM. This unusual orientation likely facilitated the abnormal transit of large bowel content toward the right groin, ultimately contributing to herniation.

Early identification through cross-sectional imaging is crucial for appropriate surgical planning. Surgeons must be aware of such variants to avoid complications like bowel injury during hernia repair.

This case underscores the importance of early imaging and recognition of rare anatomical variations, which may influence surgical planning and outcomes.

Dr. Ramesh Mohandoss

Dr. Ramesh Mohandoss, D.Ortho, MDRD
Consultant Radiologist and Orthopaedician
Kauvery Hospital, Chennai

Dr. Gopi Bagya S K

Dr. Gopi Bagya S K, MBBS, MD
Kauvery Hospital, Chennai

Dr. Manish Yadav
DnB Radiology Resident
Kauvery Hospital, Chennai