Plain CT clues to early small bowel ischemia: A Miss-Before – You – See It Entity

Plain CT clues to early small bowel ischemia: A Miss-Before – You – See It Entity
Print This Article

Introduction:

Acute mesenteric ischemia (AMI) is a life‑threatening vascular emergency caused by sudden reduction in blood flow to the small bowel. Early diagnosis is crucial to prevent irreversible bowel necrosis and associated morbidity and mortality. Computed tomography (CT), especially contrast‑enhanced CT (CECT), plays a pivotal role in rapid diagnosis. We present a case of small bowel ischemia in an elderly female detected on CT, highlighting the importance of early imaging and recognition of key radiological signs.

Case:

An 81‑year‑old female presented with acute upper abdominal pain and episodes of vomiting. There was no history of prior abdominal surgeries. Initial evaluation with plain CT abdomen was performed to assess potential causes of abdominal pain and obstruction.

Imaging Findings (Plain CT):

– Prominent fluid‑filled segment of distal jejunum / proximal ileum with possible intramural air pockets and surrounding fat stranding — suggesting possible small bowel ischemia.

– Dilated small bowel loops with a few air‑fluid levels involving the ileum.

– Cholelithiasis.

– Minimal free fluid in pelvis.

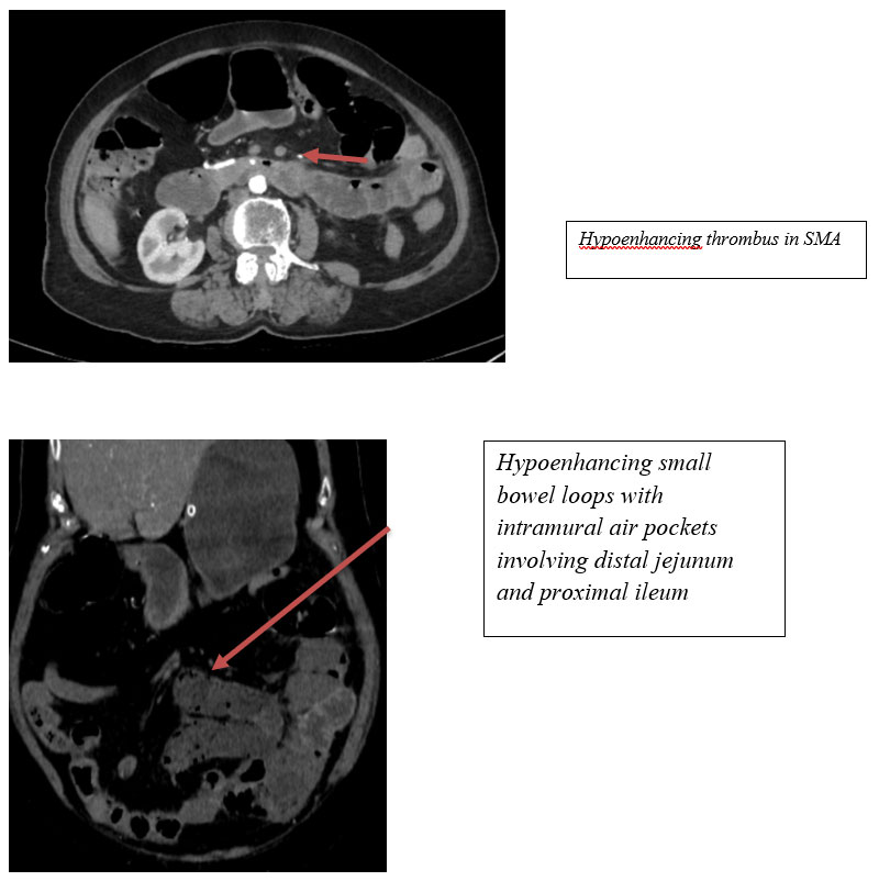
CECT Findings:

– Near‑complete occlusion of distal main trunk of the superior mesenteric artery (SMA).

– Hypoenhancing small bowel loops with intramural air pockets involving distal jejunum and proximal ileum — likely ischemic bowel.

– Distal ileal loops dilated with intraluminal air pockets — possible ileus.

– Minimal free fluid in pelvis.

– Cholelithiasis.

– There was no evidence of pneumoperitoneum.

Clinical Significance:

Acute mesenteric ischemia is a critical diagnosis requiring prompt recognition. Elderly patients, particularly those with vascular risk factors, are vulnerable to SMA occlusion. Radiological findings such as hypoenhancing bowel, pneumatosis intestinalis, bowel dilatation, and vascular cutoff are key indicators of bowel ischemia. Early surgical intervention or endovascular management can significantly improve outcomes. This case underscores the role of CECT in detecting life‑threatening ischemia even in the absence of overt pneumoperitoneum.

Discussion:

Superior mesenteric artery occlusion leads to compromised perfusion of midgut structures. In elderly patients, thromboembolic disease is a common cause. CT features of established ischemia include poor bowel wall enhancement, intramural air, mesenteric fat stranding, and portal venous gas. Differentiating viable from non‑viable bowel is essential for guiding emergency management. Immediate revascularization and surgical assessment are crucial in preventing bowel infarction.

Conclusion:

This case highlights the importance of rapid CT evaluation in elderly patients presenting with acute abdominal pain. Near‑complete SMA occlusion with evolving ischemic changes requires emergent attention. Early imaging facilitates timely diagnosis, guiding appropriate surgical or endovascular management, thereby reducing mortality and morbidity associated with acute mesenteric ischemia.

Importance of Early Detection of Bowel Ischemia on Plain CT:

Plain CT often provides the first radiological clues of early mesenteric ischemia, especially in emergency settings where contrast use may be delayed. Subtle findings such as disproportionate small bowel dilatation, bowel wall thickening or thinning, and surrounding mesenteric fat stranding may indicate early ischemic injury. The presence of hypoenhancing bowel walls, even without frank pneumatosis, can be an early marker of vascular compromise. Fluid‑filled, non‑peristaltic bowel loops out of proportion to the rest of the bowel should raise suspicion of early ischemia and prompt urgent CECT evaluation. Early recognition on plain CT can significantly reduce diagnostic delay, a major factor contributing to high mortality in mesenteric ischemia. Plain CT remains a crucial tool in patients in whom contrast is contraindicated initially (e.g., renal impairment), helping identify early warning signs that guide further management. Mesenteric fat stranding adjacent to affected bowel loops on non‑contrast study may reflect early ischemic inflammation and should not be overlooked. Early plain CT evaluation helps differentiate vascular from obstructive causes of bowel pathology, enabling faster and more appropriate intervention.

REFERENCES:

Olson MC, Fletcher JG, Nagpal P, Froemming AT, Khandelwal A. Mesenteric ischemia: what the radiologist needs to know. Cardiovasc Diagn Ther. 2019 Aug;9(Suppl 1):S74-S87. doi: 10.21037/cdt.2018.09.06. PMID: 31559155; PMCID: PMC6732105.

Gaillard F, Le L, Hartung M, et al. Small bowel ischemia. Reference article, Radiopaedia.org (Accessed on 13 Nov 2025) https://doi.org/10.53347/rID-19015

Kanasaki S, Furukawa A, Fumoto K, et al. Acute mesenteric ischemia: multi-detector CT findings and endovascular management. RadioGraphics 2018; 38:945–961

Dr. Gopi Bagya S K

Dr Gopi Bagya S K, MBBS, MD
Kauvery Hospital, Alwarpet, Chennai.

Dr Malavika S
DNB Resident
Kauvery Hospital, Alwarpet, Chennai.